Crown and Bridge
Zirconia (5 IN-LAB production days)
BruxZir 16
Pre-shaded zirconia, high esthetics. Useful for 3-unit bridges and any single unit in the posterior or anterior region. Approved for screw retained crowns. May be layered with porcelain. BruxZir 16 can be polished or glazed. (800 MPa)
Lava Esthetic
Multi-layered shading from cervical to incisal. Beautiful material for 3-unit bridges and anterior and posterior restorations. Must be glazed. (800 MPa)
NexxZr
The strongest of our zirconia materials. NexxZr material is more opaque than our high translucent zirconia. Approved for screw retained crowns. NexxZr zirconia is white in the pre-sintered state and hand stained before sintering. May be polished or glazed. (1200 MPa)
ZirCAD Prime
Our most premium zirconia for esthetics and strength. The next generation of all ceramics. Using Gradient Technology, ZirCAD Prime is developed in a new unique manufacturing process that combines 3Y and 5Y oxide-ceramics for the ultimate in strength and esthetics. The Gradient Technology offers a seamless progression of shade, translucency, and composition to provide premium esthetics combined with exceptional strength. (1200 MPa- flexural strength)
Lithium Disilicate (5 IN-LAB production days)
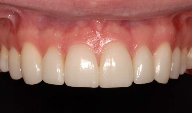
After
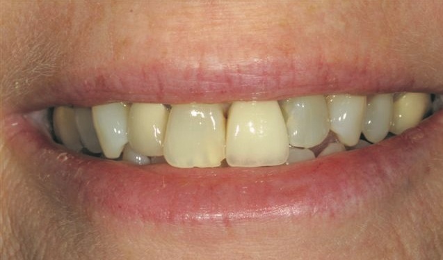
Before
After
Before
E.max
Lithium Disilicate units are designed digitally and then pressed to achieve maximum strength and marginal integrity. Available in High translucent, Medium translucent, and Low translucent shades. (MPa 400)
E.max Multi
Lithium Disilicate pressed using a multi-layered ingot. Excellent for anterior restorations that desire more premium esthetics and require bonding instead of cementing. (MPa 460)
Porcelain (7 IN-LAB production days)
Porcelain Fused to Zirconia (PFZ)
Highly esthetic restoration. A substructure is milled out of zirconia, then it is layered with porcelain. Higher cost, but depth of shade and match to existing dentition can be accomplished. More opportunity for shade match and characterization.
Porcelain Fused to Metal (PFM)
Ideal for masking dark stumps shades. Ideal for long span bridges. Stress-breakers can be added to bridges to give some flexibility.
Implant Restorations (10 IN-LAB production days)
Titanium Abutment
Customized and digitally designed using CAD/CAM. Available with a wide range of manufacturers including Glidewell, Bio Horizon, Straumann, Neodent, Zimmer Biomet, Noble Biocare and more.
Hybrid Abutment
Combining Zirconia and Titanium to provide an excellent abutment that won’t be seen through any customized crown or bridge.
Screw-Retained Implant Crown
A one-piece assembled full contour abutment. The crown is attached to the implant with a screw. Used for convenient access for cleaning, replacement of implant screws, and no cement required.
Misc. (5 IN-LAB production days)
Gold
Highly compatible with opposing natural tooth structure. Knife edge margins can be achieved. Long lasting and durable.
Temporary Crowns- Poly(methyl methacrylate)
Used for long term temporary crown and bridges. Limited to common shades, such as A1, A2, A3, B1, B2




















